Projects & Publications

Here is a collection of my recent work. Each project highlights my passion for solving complex problems and creating elegant solutions.

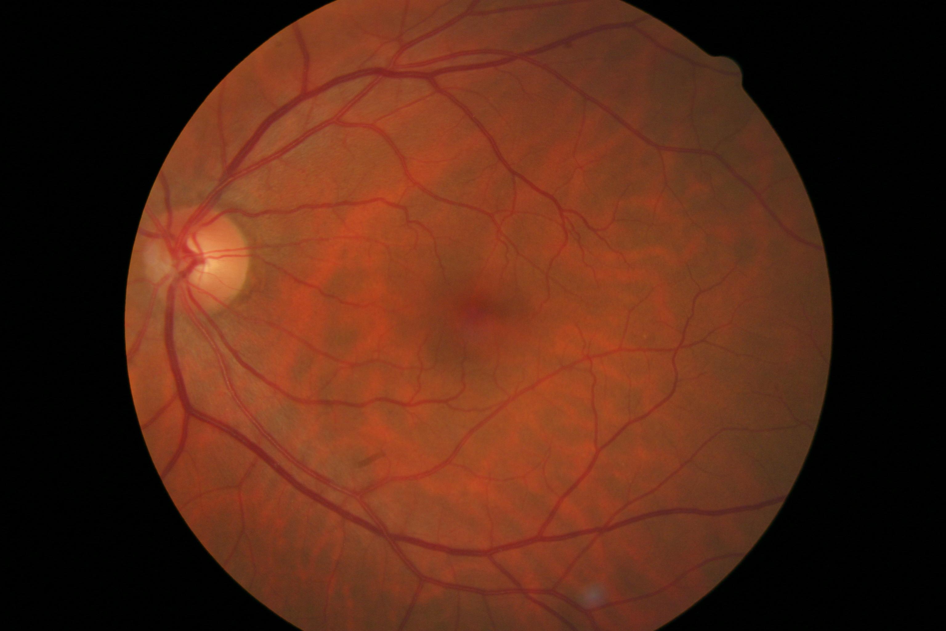
Alzheimer diagnosis using fundus images

Alzheimer diagnosis using fundus images

The project spanned 3 years, in multiple iterations with various subprojects handling the quality of the fundus images, accounting for bias due to data drift and analyzing the fractals of retinal images.

Concept on designing trustworthy ML systems

Concept on designing trustworthy ML systems

In healthcare, designing ML systems that are trustworthy for all stakeholders is paramount. Here are my thoughts on creating such systems.

Publications & Posters

  • The assessment of fundus image quality labeling reliability among graders with different backgrounds (2022). PLOS ONE, 17(7): e0271156.
    Sapahia R, Laurik-Feuerstein KL, Cabrera DeBuc D, Somfai GM.
    View Paper
  • Functional Near-Infrared Spectrometry as a Useful Diagnostic Tool for Understanding the Visual System: A Review (2024). J. Clin. Med., 13, 282.
    Sapahia R, et al.
    View Paper
  • Kernel flow and the eye-brain connectome: Towards a more robust technique to identify high-risk individuals before cognitive decline (2023). Poster, First Published: 16 June 2023.
    DeBuc, D.C., et al.
    View Poster
  • Dynamic ocular blood flow metrics are altered in diabetes and diabetic retinopathy patients (2023).
    Sinha, A., et al.
    View Poster
  • Laser speckle-based retinal imager as a potential screening tool for mild cognitive impairment (2021).
    DeBuc, D.C., et al.
    View Poster
  • Investigating retinal blood flow characteristics and amyloid formation in patients with type 2 diabetes and mild cognitive impairment (2020).
    DeBuc, D.C., Sapahia, R., et al.
    View Poster